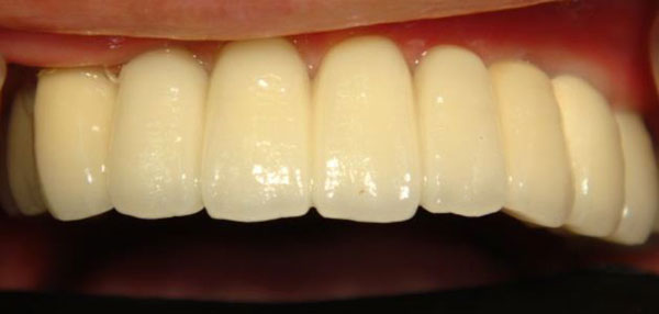
全口重建
全口無牙的並做重建有幾個要點必須注意!
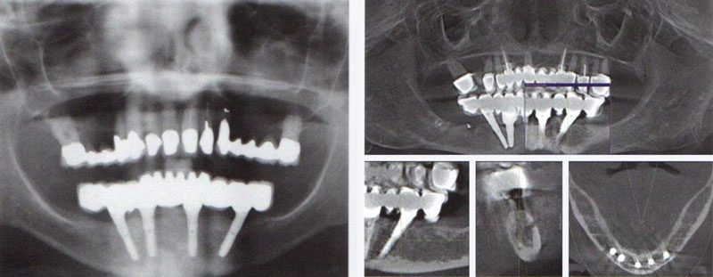
1. 缺牙久:骨床嚴重吸收,上顎竇容易穿破必須在種植體入初期能固定的情況下才能節省時間,否則必須先補骨再做種植。
2. 牙周病造成的無牙患者:嚴重的牙周病會破壞大量齒槽骨,切記別為了省去無牙咬合的等待時間,做出即拔種或是快速植。如此他骨整會大打折扣;而且牙周感染環境沒改善,骨床生理適當休息,由發炎回復到活潑健康的狀態,未來 BIC(植體骨頭結合率)會少很多,建議牙周病拔牙的傷口,一個半月後再植牙。
.jpg)
3. 全口無牙的病人常伴隨有軟組織退化,這種退化形成了無角化牙齦的狀態居多。切記 ;如果醫師要做微創的電腦導引版種植,往往會造成日後植體周圍炎的大量產生,進而破壞骨頭,所以建議先做軟組織移植,或是手術時避開非角化牙齦,並做游離瓣角化齦的重建。
4. 從力學的角度來看,所有的種植必須符合力學上的 Ante's low。種植體的顆數和粗細千萬不要過少,以免得不償失。
.jpg)
5. 有關於發音問題:種植體必須要在可用的齒槽脊和適當的舌頭放置的位置尋求一個平衡點。並且考慮顳顎關節正確的休息位置,以及他咬合水平差距。
6. 有關下眼臉的問題:全口種植的病人常常會造成治療完成後的一種錯誤印象;水平線的不平衡,那就是他的嚴重的下眼瞼萎縮,造成法令紋加深;嘴唇、下巴的不對稱,造成齒列排列看起來跟嘴唇不協調。必須要術前先溝通,然後才能夠讓病人知道客觀條件是什麼!另一方面也可以用生長因子來做下眼瞼這些萎縮組織的充填跟回春。
.jpg)
7. 有關於由德國某公司發展出來的 All-on-4 系統在推波助瀾下很對想省錢的病人胃口,往後站在專科醫師的立場來看有幾個問題:
.jpg)
a. 傾斜角度往往大於 35 度,他的齒頸部容易長期受力後產生吸收。
b. 無法杜絕跟其他系統一樣,有植體周圍炎的產生。
c. 日後發生種植體周圍炎必須重建或是拿掉,往往是個災難,因為置入角度是傾斜的,破壞骨量會很大。
d. 配合電腦指引手術導版,做快速種植更是不建議。
.jpg)
e. 種植顆數太少,往往修復體(上部的假牙)容易違反 Ante's low 而產生問題。
.jpg)
f. 長期的臨床數據,還沒有超握 10 年的報告,所以站在專科醫師的立場,盡量少用。
g. 因為 All-on-4 的角度太傾斜,未來種植體周圍炎,骨頭破壞力量大。
.jpg)
總結:
全口無牙患者種植,猶同是搬新家,再蓋一間毛胚屋要開始做裝潢設計......。於是良好的設計跟裝潢材料的選用,就決定了這個裝潢可以用多久。
免責聲明: 本所療程皆由專業醫生評估後,依照個人口腔狀況進行治療。因每位患者個別狀況不同,術後狀況也不盡相同,需親來本所由醫生評估。
