為什麼醫生要求孩子拍X光片?
親愛的家長,您可能在帶孩子看牙醫時,聽到牙醫師建議拍攝X光檢查。這樣的建議或許會讓您感到疑惑,但其實拍X光對於孩子的口腔健康是很重要的。以下是幾個主要原因,幫助您理解為什麼牙醫師會如此建議。
1. 牙齒發育評估:孩子的牙齒在成長過程中會不斷發育,牙醫師透過X光可以評估恆牙的生長情況,檢查乳牙的脫落是否正常。及早了解牙齒的發育狀態,能夠及時發現異常,以便及早介入。
2. 檢查蛀牙:許多蛀牙在早期可能難以用肉眼察覺,特別是位於牙齒小孔或鄰接牙齒之間的部分。X光能夠清晰地顯示牙齒內部的狀況,幫助牙醫師及時發現潛在的蛀牙,避免問題進一步惡化。
3. 牙齦健康:牙齦健康對於口腔整體健康至關重要。透過X光,牙醫師可以檢查牙齦和牙槽骨的狀況,及早識別潛在的牙周疾病及其他問題,並制定適當的治療計劃。
4. 牙齒排列和咬合:如果孩子的牙齒排列不整齊或咬合不正,這可能會影響口腔功能及美觀。X光檢查可以幫助牙醫師評估牙齒的排列情況,必要時提出矯正建議,進而增進孩子的口腔健康和自信心。
5. 牙齒損傷:如果孩子曾經受到撞擊或受傷,X光可以用來檢查牙齒及周圍骨骼是否有損傷。
6. 智齒發育:對於年紀稍大的孩子,X光可以幫助檢查智齒的發育情況及是否需要拔除。
總之,X光在牙科診斷中是一個非常重要的工具,通過拍攝,牙醫能夠獲得更全面的口腔健康狀況信息,從而制定出合適的治療方案。
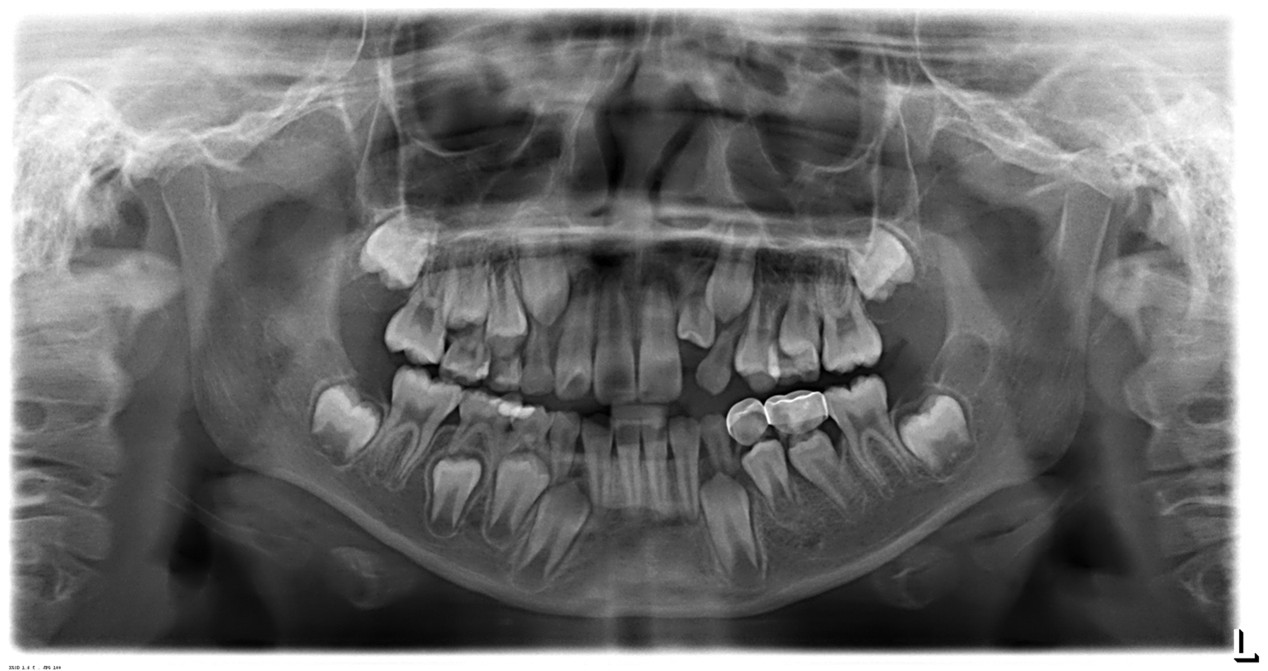
此張x光片為學齡小孩恆牙,乳牙交換期間拍攝,可供醫師參考治療方案
輻射對於人體會不會造成傷害?
- 國際放射防護委員會推薦,每人每年輻射限值不得超過 5000 微西弗,而拍攝一張牙科全口 X 光片的劑量只有約 20 ~ 25 微西弗,對人體的輻射微乎其微,若依此計算每人每年可接受約 200 張的牙科口內X光照像。進行x光檢查時會採取防護措施,例如使用鉛衣來保護身體其他範圍,減少不必要的輻射曝露。

